Premier Oral Surgery Services at White32 Dental
White32 Dental is your trusted source for comprehensive oral surgery in Washington DC. From wisdom teeth removal to complex reconstructive procedures, our expert team ensures safe and effective treatments.
Full Mouth Reconstruction
A full mouth reconstruction, which is more commonly called a smile makeover, is a treatment that involves completely revamping a patient's smile. Unfortunately, smiles can become dull or unsightly over time, whether this is caused by bad habits or chipping or losing a tooth.
Tooth Extractions
Extractions are done as a way to preserve your oral health and remove problematic teeth. In some cases, you may need to have teeth removed because of advanced gum disease.
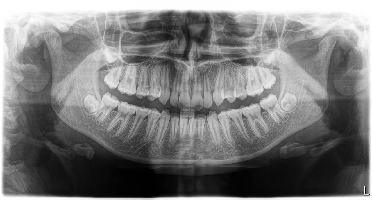
Wisdom Teeth Extractions: Safe and Comfortable Removal
Our oral surgeons specialize in the gentle extraction of wisdom teeth, using advanced techniques to minimize discomfort and promote rapid healing.
Join Our Family Dental Practice
Begin your journey to a radiant smile today. Schedule your appointment with White32 Dental and experience dental care that goes beyond your expectations.

.avif)

